Manage your patients, effortlessly

Our interactive timeline provides a holistic view of each patient's treatment setup, consent, photographs, X-rays, treatment plan and progress. With Hugo Systems, patient management is a cinch.

History: Teeth Grinding & Tonsil Removal
Doctor: Kellerman
Treatment Time (In/Out)/ Payment:
7/8 Months
Age: 14
Gender: Female
Elastics
Hugo Orthodontics - Candy C
Mar. 3, 2021 9:00 a.m. - Appt. ID:2489210
Routine Checkup
Hugo Orthodontics - Claire B
Dec. 7, 2020 9:00 a.m. - Appt. ID:2482340
Grace Peters - 321000

Intuitively prescribe Elastics

Draw your prescription directly onto customisable templates to communicate your decisions with patients seamlessly. These drawings will be attached to the treatment email you send to your patient after each visit and available on the patient portal. Keep your patients in the loop and help patients to improve compliance during treatment.

Post to your patient's timeline at each appointment.

Add detailed clinical information to your patient timeline, building a clear treatment history and allowing you and your patient to monitor progress throughout your patient's journey.

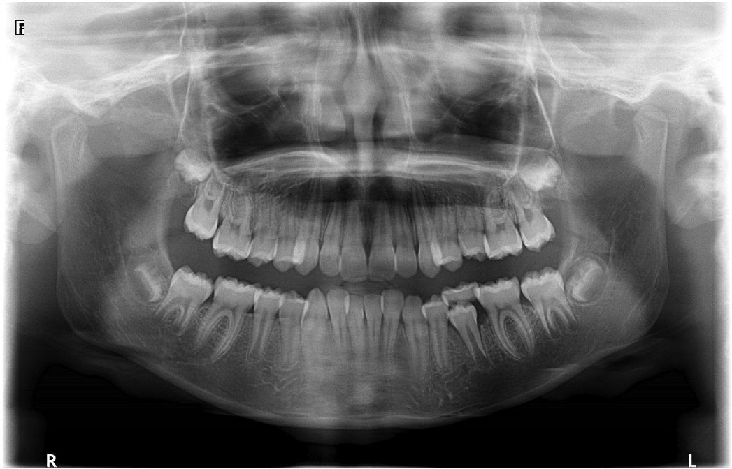
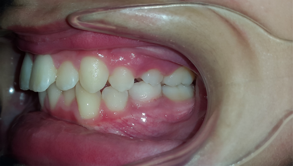
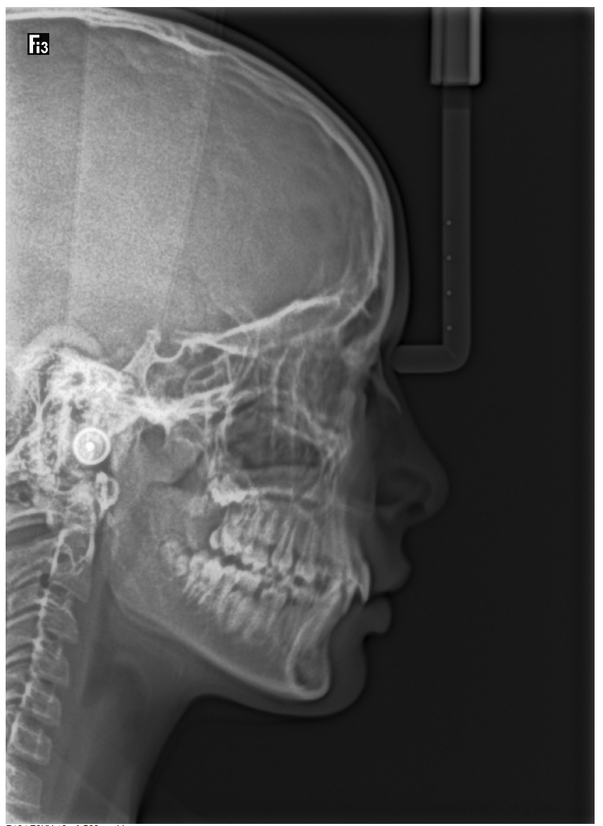
Add photographs and X-rays to your patient's timeline.

Photographs are a great way of documenting your treatment progress and allow you to communicate your treatment progress visually.

Monitor your patient's progress throughout treatment in one place

Your patient timeline gives you a complete history of your patient's treatment and allows you to monitor their progress easily.